关闭
关注微信公众号
下载APP
我要爆料
首页顶部广告

一家6口出游,5人感染!医生紧急提醒:别拖!有人因此去世

2025-02-06 09:20  来源: 宁波晚报、极目新闻、浙大二院、都市时报、新浪微博

近期,流感高发

据中国疾控中心最新数据

目前流感病毒阳性率持续上升

其中99%以上为甲流

全国多地疾控提示

要做好个人防护

注意防范呼吸道、肠道传染病

前段时间,一则

“浙江一家6口出游5人感染甲流”

的消息引发关注

image.png

据浙大二院消息,有患者家庭一行6人出游,结果5人都感染了甲流。

“我们一大家子一周前去旅游了,到第二天开始发热咳嗽喉咙痛,全身肌肉也连带着酸痛,买了个体温计量一量,最高的时候在39℃以上。硬扛了几天,前天实在是顶不住了,去了当地一家医院查了胸片,查出来说是肺炎,建议我住院。我听着吓坏了,赶紧坐飞机回来看病了。”

50多岁的李阿姨(化名)拿出来一张胸片报告,上面写着“左下肺炎”。

接诊的庞医生了解到,李阿姨在当地接受了一些治疗,但体温仍居高不下。家中同行的6个人,有5个人都先后发烧了。庞医生判断,李阿姨大概率是得了传染性较强的呼吸道疾病,立即给她安排了血常规、相关病毒抗原检测,以及更清晰的肺部CT检查,以便进一步了解病情。

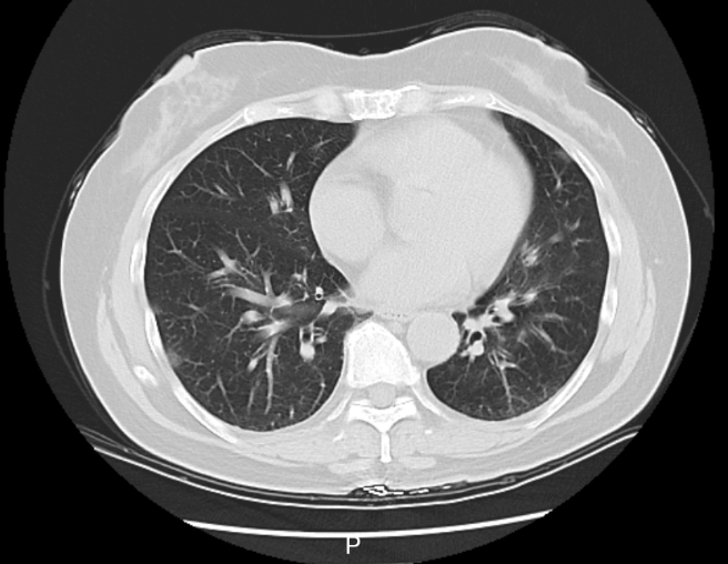
image.png

李阿姨肺部CT影像

检测结果显示,李阿姨已经得了病毒性肺炎,甲型流感病毒核酸呈阳性。这一下,罪魁祸首找到了,是甲流搞砸了这一家人一次本该圆满的旅行。

发热门诊医生立即给她用上了玛巴洛沙韦抗病毒。不出2天,李阿姨的体温恢复了正常,咳嗽咽痛等症状也有了明显好转。

抓住“黄金48小时”,千万别拖!

有这些症状赶紧就医

据浙大二院消息,2025年1月初,浙大二院发热门诊接诊量为2024年12月初的4—5倍,流感样病例(体温≥38℃,伴咳嗽或咽痛之一的患者)的甲流阳性率高于三成。

一旦出现甲流症状,建议早期(发病48小时内)及时使用抗病毒药物治疗,在家休息、避免剧烈运动,并充分饮水,可以减缓症状,缩短病程。大多数流感患者能在1至2周内自行好转。前文中的李阿姨如能在发病早期进行抗病毒治疗,应该也不至于发展成肺炎。

如果出现呼吸困难或呼吸急促,胸部或腹部疼痛或有压迫感,突然头晕、意识模糊、严重呕吐等症状时,应及时就医。

流感的常见检测方法有两种:流感病毒抗原检测和流感病毒核酸检测,抗原检测速度快,但敏感性低于核酸检测;抗原阳性可以诊断流感,但阴性不能排除流感;病毒核酸检测的特异性和敏感性都很高。

普通感冒以打喷嚏、鼻塞、流鼻涕、咳嗽为主,儿童可能出现发热症状,流感则是全身症状较重,主要有4个特点:①高烧明显(38.9~40℃),短时间内的体温快速上升;②疼痛明显(头痛、咽痛、肌肉酸痛);③疲劳乏力明显;④剧烈咳嗽明显。

需要注意的是,感染甲流后的主要表现为突然的高热,常有咳嗽、咽喉痛、鼻塞、流涕等呼吸道症状,伴有头痛、肌肉酸痛等全身不适,部分患者会出现胃肠道不适感。

五类人群容易出现严重并发症

有患者轻视流感不幸去世

相比于普通感冒,流感的“杀伤力”更加不容小觑,宁波大学附属第一医院感染科主任钱国清的患者里就有不少人曾因轻视流感的危害而导致严重后果甚至不幸去世。

流感比普通感冒更加“凶险”,免疫功能低下的人硬扛,身体的抵抗力明显下降,此时就容易感染平时不易感染的细菌,导致重症肺炎。

流感病毒还会破坏身体的重要器官如心脏,导致病毒性心肌炎等,甚至出现严重并发症,危及生命。

全人群对流感病毒普遍易感。但流感对5类人群:65岁以上老人、幼儿(小于5岁,尤其是小于2岁)、孕妇、慢性基础疾病患者、高BMI的人群(肥胖人群)等的威胁更大,容易出现严重并发症,如出现流感样症状应尽快就医。

钱国清表示,流感的并发症有:肺炎、喉炎、心肌炎、肌炎、脑膜炎、脑炎等,其中最常见的就是肺炎,而且肺炎尤其是重症肺炎的致死率也很高。

钱国清表示,各个年龄段的人群都是流感的易感人群,都要注意防范流感,最有效的防范方式还是接种流感疫苗。由于流感疫苗的效力通常持续不到1年,而且每年流行的病毒株可能有所不同,所以建议在每年流感季来临时都要做好流感疫苗的接种举措。