关闭
关注微信公众号
下载APP
我要爆料
首页顶部广告

一口气吃30多颗!一姑娘满地打滚,医生傻眼:肚子里密密麻麻......

2025-01-25 09:24  来源: 健康杭州

19岁大二学生倩倩(化名)是糖炒山楂的忠实爱好者。这种酸酸涩涩的味道很上头,每年山楂一上市,她必定会买来解馋。

但最近,她偏偏就被这酸甜开胃的山楂整进了医院。

1斤多山楂下肚

巨大“石头”塞满整个胃
医生:多喝可乐

近日,倩倩买了1斤多糖霜小山楂来吃,结果当天晚上就感到肚子痛。起初还勉强能忍受,可到了第二天,腹痛却越来越严重,疼得她直打滚,最后来到了杭州市第一人民医院门诊。

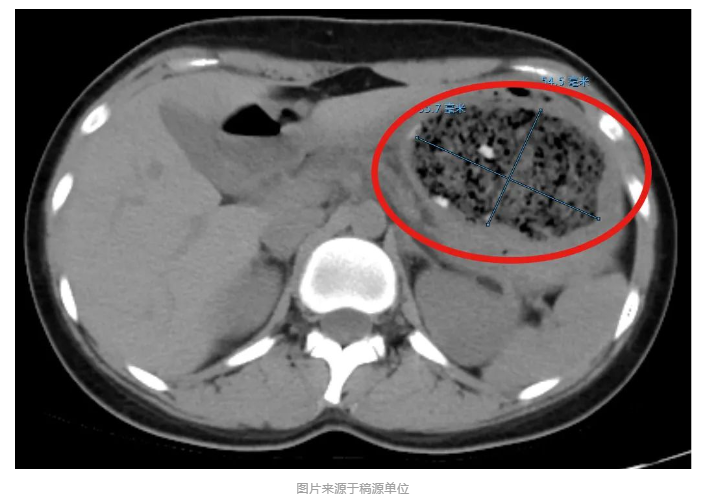
接诊的消化内科副主任杨晶简单问了病史后,给倩倩安排了腹部CT平扫检查,结果发现一个8.6cm×5.5cm左右的巨大的异物把她的胃塞得满满当当!

image.png

“你吃了多少山楂?”杨晶问。

“一个人吃了1斤多,大概有30多颗……”倩倩怯怯地说。

经验丰富的杨晶立刻做了明确诊断——胃石。

在进一步胃镜检查后,杨晶发现,倩倩胃里面的结石体积庞大,几乎不留什么空隙,这使得常规的异物圈套器无法施展。

为此,杨晶决定先用工具将结石分割成小块,但由于结石太多,如果直接一一取出,会对喉咙造成损伤,他选择让这些小块结石留在里面,并再三嘱咐倩倩,这几天多喝可乐。

根据医嘱,倩倩喝了两天的可乐,果然,四天后复查,检查结果显示,她胃内的结石已完全溶解消失。

不只是柿子!

很多食物都会引发结石

“只听说柿子吃多了会得柿石,怎么山楂也会引发结石?”倩倩百思不得其解。

杨晶解释,胃石并非仅限于“柿石”,其实只要富含“鞣酸”的食物,如香蕉、山楂等,在特定条件下同样可能形成结石,需引起高度警惕。

为什么可乐能消除结石呢?杨晶解释,这是因为可口可乐含有大量二氧化碳,会产生膨胀效应,而磷酸、柠檬酸和碳酸氢钠,也会和结石中的钙等物质产生化学反应,破坏结石聚合,达到溶石的目的。

但注意,有胃石特别是合并溃疡症状的患者,不能盲目饮用可乐。因为可乐可能会造成溃疡的进一步加重,要在专业医生的指导下进行,并建议尽早去医院进行综合治疗。

注意健康饮食

不必“谈石色变”

“今年门诊已经收到好几例类似的病例,每年到柿子、山楂上市的季节,更是高发。不过,不用过于恐慌,任何事情都不能‘抛开剂量讲毒性’。产生胃结石的前提是大量食用。”杨医生说。

因为“胃石”住院虽然惊险,但大多数预后良好。“只要有正确的饮食观念,在满足我们的口福同时,不必谈石色变。”

杨医生发出以下提醒,吃货们请收好:

  • 选择成熟的柿子或山楂等食物。

  • 注意摄入量,不可贪吃。

  • 避免高蛋白食物共同食用。

  • 消化功能差的人群要减少摄入,如老人、儿童要特别注意。

  • 进食后注意口腔清洁,避免鞣酸对牙齿造成损伤。

  • 如有不适及时入院就诊,千万不可听信偏方治疗。